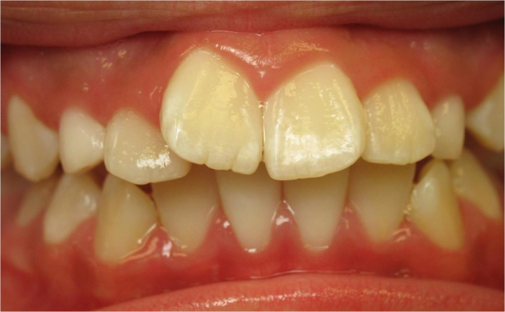
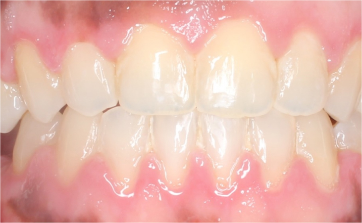
Before & After

In publishing and graphic design, Lorem ipsum is a placeholder text commonly used to demonstrate the visual form of a document or a typeface without relying on meaningful content.

  • Jaw surgery

  • Patient underwent treatment with braces and orthognathic (jaw) surgery to get a better functional smile and bite.

  • Extractions & Braces

  • Patient had braces with 4 first premolars extracted to address the crowding and get a better smile.

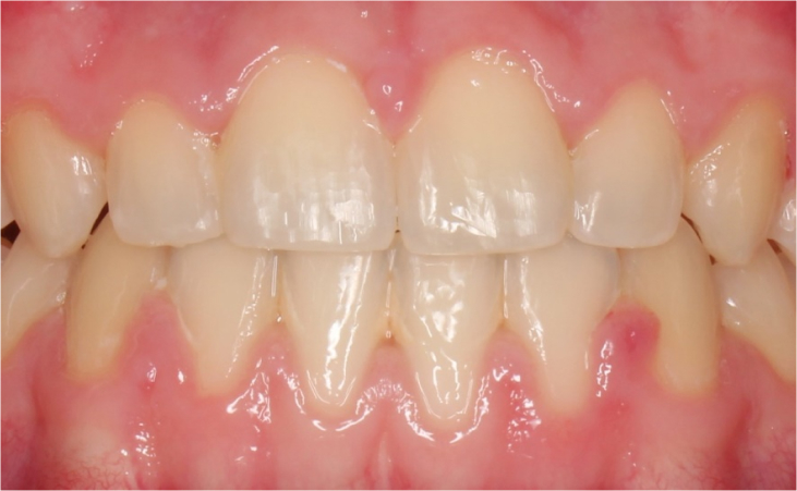
  • Extractions & Braces

  • Patient had maxillary 1st premolars, mandibular 2nd premolars extracted to alleviate crowding, reduce overjet, and obtain a better functional smile.

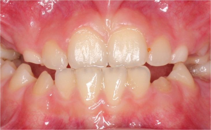
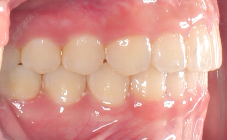
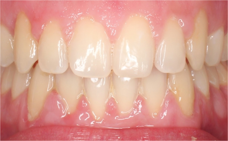
  • Expansion & Braces

  • Pt had nonextraction Invisalign treatment to level his arches and correct his bite. Interproximal reduction (IPR) was used to help create space and get his teeth to touch and function properly. We were lucky he had some favorable mandibular growth of his lower jaw as well.

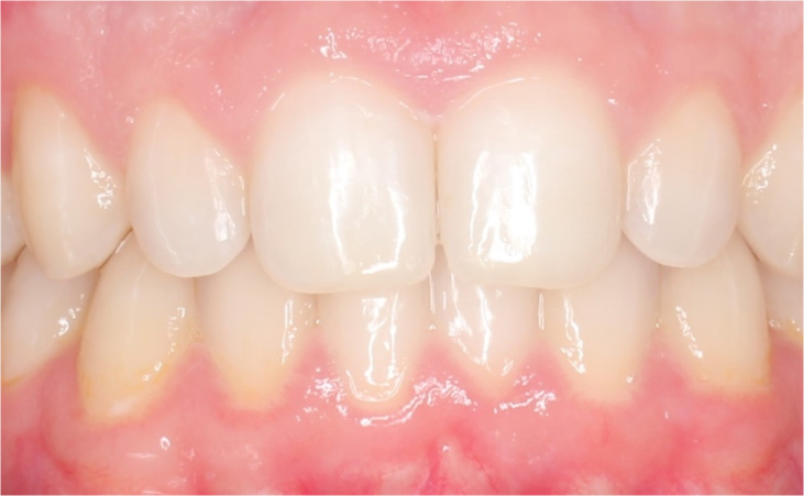
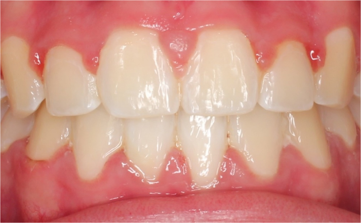
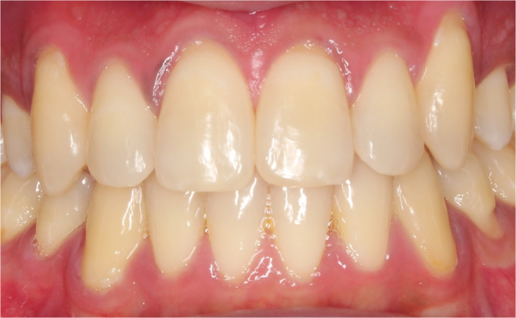
  • Braces & TADs

  • Pt had nonextraction, Invisalign treatment to close spaces and get an ideal bite. Pt had to wear elastics diligently to achieve this result.

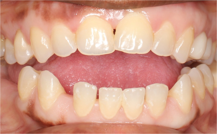
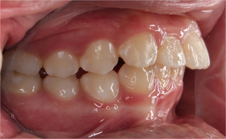
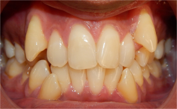
  • Invisalign

  • Patient was a chronic thumb sucker in her 40s, which led to a large anterior open bite, tongue thrust. This affected her quality of life because she was not able to chew food properly. A combination of braces, TADs, and tongue tamers were implemented to close her anterior bite. Pt is to get posterior implants and crowns after treatment.

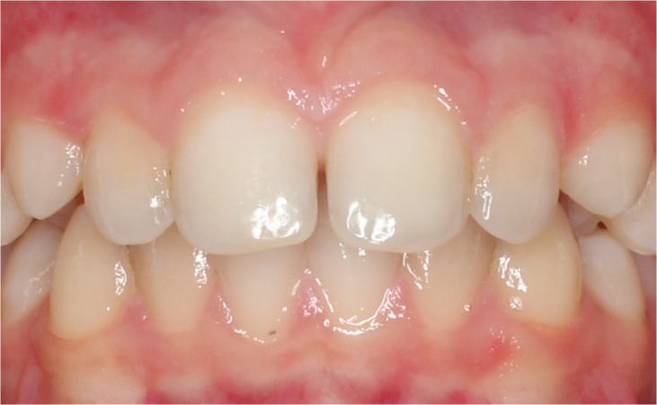
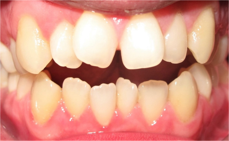
  • Invisalign

  • Patient had an expander, facemask and braces to prevent jaw surgery and correct his underbite and crossbite

book appointment